نتایج جستجو :
-
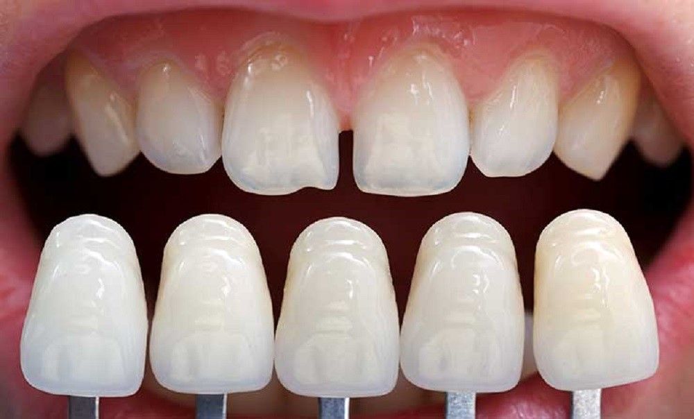
لمینت دندان چقدر طول میکشد؟
بسیاری از افراد قبل از تصمیمگیری برای انجام لمینت دندان، میخواهند بدانند مدت زمان لازم برای انجام آن چقدر است و چه…
-
لمینت دندان چقدر طول میکشد؟
زیبایی دندانها، موضوعی است که طی سالهای اخیر بسیار اهمیت پیدا کرده است و افراد به دنبال راههای مختلفی برای بهبود…
-
کامپوزیت یا لمینت یا روکش دندان: فرق کامپوزیت با لمینت و روکش چیست
بر خلاف چیزی که بسیاری از مردم تصور میکنند، مهمترین فرق لمینت و کامپوزیت دندان، هزینه مناسب کامپوزیت در مقایسه با…
-
راهنمای انتخاب بهترین مرکز لمینت دندان شیراز
برای انتخاب بهترین مرکز لمینت دندان شیراز قطعا با چالش هایی روبرو هستید. در این مقاله بهترین کلینیک دندانپزشکی شیراز…